Ижевчанин обратился к врачам из-за «шишки» на лбу, но оказалось, что это опухоль
В ГКБ №7 в Ижевске обратился мужчина, который за три недели до этого ударился и на его лбу выросла шишка, сообщает Минздрав Удмуртии.
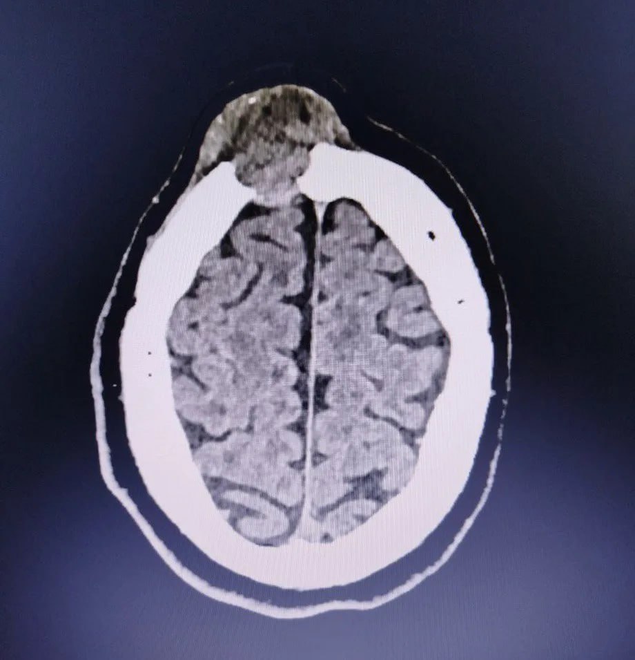
За прошедшее время она не только не прошла, но и немного подросла. Компьютерная томография показала, что это опухоль, которая уже начала разрушать лобную кость.
Случай оказался непростым: один край опухоли лежал над самой крупной веной мозга, а другой разрушал стенки лобных пазух. В результате образование создало сообщение между полостью черепа, полостью носа и внешней средой, а это опасно развитием гнойных осложнений.
Нейрохирурги смогли удалить опухоль, сохранив все важные сосуды, очистили пораженные лобные пазухи, а также закрыли полость черепа и перекрыли сообщение с носом и внешней средой тканями пациента с бедра. Для восстановления кости лба была использована титановая пластина.
В настоящий момент пациент выписан и находится в удовлетворительном состоянии.
Фото: Минздрав Удмуртии



























































